Facile, rapide et gratuit

Créez votre site maintenant

Je crée mon site
Site créé sur

DÉFINITIONS

Frein de Langue - Qu'est-ce que ça signifie ?


Un frein de langue restrictif est un « reste de tissu situé sur la ligne médiane entre la surface inférieure de la langue et le plancher buccal qui restreint le mouvement lingual physiologique » (IATP, International Affiliation of Tongue-Tie Professionals). Lorsqu'il est trop épais, trop serré ou trop court, il peut alors entraîner un ou plusieurs problèmes d'ordre fonctionnel (allaitement, ventilation, sommeil, dentition, parole, alimentation). 

Frein de Lèvre ?

 

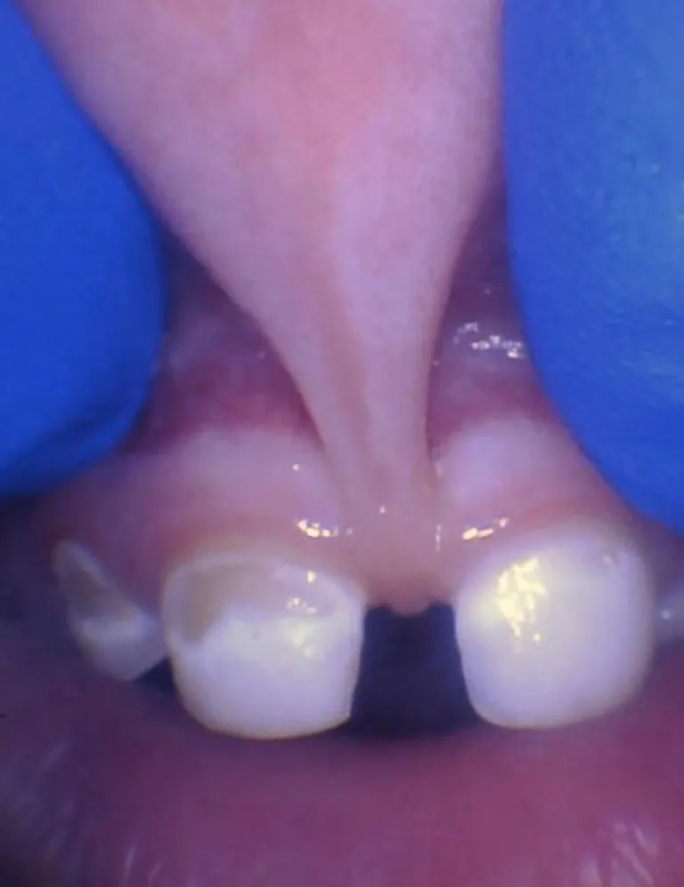
Le frein labial restrictif correspond à une anomalie où la lèvre supérieure est restreinte et ne peut pas bouger normalement. Il peut rendre difficile l'allaitement, l’alimentation, la parole et le brossage des incisives supérieures ; il peut également entraîner un diastème important (espace entre les dents) lorsqu’il est plus large que 2mm.

La langue et la lèvre sont composées de muscles très complexes, elles ont un rôle important pour toutes les fonctions oro-myo-faciales. C'est pourquoi le fait d'avoir un(des) frein(s) restrictif(s) peut entraîner dès le plus jeune âge des problèmes d'allaitement, d'alimentation, de dentition, de parole, de sommeil et/ou de ventilation. Les problèmes peuvent persister à l'âge adulte avec des troubles du sommeil plus importants, des maux de tête, des douleurs au cou, aux épaules, des troubles persistants de la parole, etc.

Il existe des spectres de restriction (site Tongue-Tie Alabama du Dr R. Baxter, Spectrum of lip/tongue restriction in infant/children), il n'existe pas une seule apparence. Il est donc important de comprendre la notion de symptomatique versus asymptomatique : un frein qui semble court ne sera opéré que s'il impacte la bonne fonction linguale, labiale ou jugale.

Photos ci-dessous issues du site Tongue-Tie Alabama avec l'accord de R. Baxter.

Bébé - Spectre de restrictions d'un FR lingual

Bébé - Spectre de restrictions d'un FR labial

Enfant - Spectre de restrictions d'un FR lingual

Enfant - Spectre de restrictions d'un FR labial

Frein Restrictif Postérieur

Le frein restrictif postérieur ou sous-muqueux a été décrit récemment par Genna-Watson et Coryllos (2004), le terme est donc encore peu connu par les professionnels de la santé. Chaque frein possède une composante sous-muqueuse, mais ce type de frein est totalement sous-muqueux. Il est palpable et visible avec manœuvre et peut restreindre la mobilité linguale autant qu'un frein restrictif antérieur. Certains considèrent qu'un frein postérieur correspond également au frein de type 3 selon Kotlow (distal par rapport à la pointe de la langue, terme qui semblerait être préférentiel selon Kotlow afin d'éviter toute confusion). D'autres considèrent que l'appellation est fausse, cependant, ce débat a lieu d'être en Amérique où l'on parle de "langue attachée postérieure", ce qui d'un point de vue anatomique porte à confusion, la partie postérieure de la langue étant la base de la langue. En France, il n'y aurait a priori aucune raison de penser que l'utilisation de ce terme est faux - cependant, de nombreux professionnels semblent encourager les praticiens à parler de mobilité antérieure (TRMR-TIP) ou postérieure (TRMR-LPS) impactée par un frein restrictif (ou autre, cf partie Diagnostic), et non de "posterior tongue-tie" ou "anterior tongue-tie".

 

En revanche, concernant la notion de "bande sous-muqueuse" de la ligne médiane, celle-ci n'est pas étayée par les dissections dans l'étude de Mills et al. de 2019 ; il a été démontré qu'il s'agirait d'un "pli médian défini" qui "peut être visible lorsque la langue est élevée, mais si une tension suffisante est exercée sur le fascia, il peut être palpé comme un tissu non distendu". Ils concluent alors que "le rôle de la chirurgie dans la division du fascia du plancher buccal dans ce sous-groupe et l'impact de l'intervention chirurgicale sur la biomécanique de la langue chez ces individus ne sont pas connus et justifient des recherches supplémentaires".

 

Ainsi, cela conclut qu'on ne peut rien conclure en l'état des données actuelles (et non que ça n'existe pas). 

Histologie du Frein

Autrefois, il était admis que l'on pouvait étirer un frein trop court, cependant, Martinelli et al. (2014) ont démontré que le frenum était composé de fibres de collagène qui ne peuvent pas être étirées. En revanche, Mills et al. ont montré que le frein lingual était en fait une "structure dynamique tridimensionnelle qui varie en morphologie sur un spectre". Le frein forme finalement une sorte de toile de fascias permettant de créer un "équilibre entre mobilité et stabilité". Cet équilibre peut être perturbé par une "variation anatomique du frein" et limiter ainsi les mouvements linguaux. Ce que nous apprend cette étude, c'est qu'il est donc possible d'étirer les restrictions fasciales qui entourent les fibres de collagène de cette structure variable dans le spectre des restrictions. Cette notion est importante à prendre en considération lors de l'évaluation mais aussi de la prise en soin des freins buccaux restrictifs.

Pour aller plus loin dans l'histologie :

Le frein n’est pas une corde ou une bande discrète de la ligne médiane, avec une orientation antéro-postérieure des fibres ; le frein lingual est un repli central et les fibres fasciales qui forment le frein s’orientent selon un modèle de maille (basket-weave) lorsqu’elles traversent la ligne médiane. 


Le frein est une couche de fascia, en vert, recouverte par une couche muqueuse, en rouge ; l’épaisseur et la transparence du frein sont influencées par la façon dont la muqueuse, le fascia et le muscle génioglosse se superposent.

 

Images ci-dessous reprises avec l'accord de N. Mills. 

Par exemple, un frein fin et transparent est dû à un repli muqueux bien au-dessus du repli de fascia ; tandis qu’un frein opaque plus épais est dû à une adhérence étroite entre muqueuse et fascia ; parfois, le repli muqueux s’élève légèrement au-dessus du repli de fascia, on parle alors d’apparence « mixte ». L’épaisseur du frein peut également être influencée par la hauteur à laquelle le génioglosse s’insère dans le repli de fascia ; cela peut créer une base plus large et moins bien définie du frein.

Sources :

- Baxter, R. (2020). Frein de Langue. Alabama Tongue-Tie Center Inc.

- Conférence "The Exceptional Child: Empowered!", Robyn Merkel-Walsh, (2020).

- Martinelli, M., Marchesan, I. Q., Gusmão, R. J., Rodrigues, A. C., et Berretin-Felix, G. (2014). Histological characteristics of altered human lingual frenulum. International Journal of Pediatrics and Child Health, 2(1), 5–9. 

- Mills, N., Pransky, S. M., Geddes, D. T., et Mirjalili, S. A. (2019). What is a tongue tie? Defining the anatomy of the in-situ lingual frenulum. Clinical anatomy (New York, N.Y.), 32(6), 749–761. https://doi.org/10.1002/ca.23343

- Mills, N., Keough, N., Geddes, D. T., Pransky, S. M., & Mirjalili, S. A. (2019). Defining the anatomy of the neonatal lingual frenulum. Clinical anatomy (New York, N.Y.), 32(6), 824–835. https://doi.org/10.1002/ca.23410

- Mills, N., Geddes, D. T., Amirapu, S., et Mirjalili, S. A. (2020). Understanding the Lingual Frenulum: Histological Structure, Tissue Composition, and Implications for Tongue Tie Surgery. International journal of otolaryngology, 2020, 1820978. https://doi.org/10.1155/2020/1820978

 

Tous Droits Réservés - Copyright © 2020 | FreindeLangue.fr